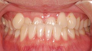
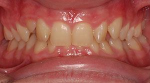
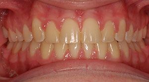
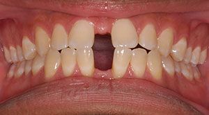
Our Smiles Speak For Themselves
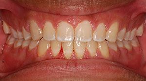
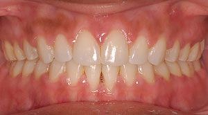
Orthodontic treatment, braces, and Invisalign can significantly improve the way your smile looks, the way your teeth function, and the way you interact with other people. At Thames Orthodontics, Dr. Thames treats children, teens, and adults. Every smile tells a story, and here are a few examples treated by Dr. Thames.
Before

After

Before

After

Before

After

Before

After

Before

After

